O Diamante CVD
Por sua vez, a tecnologia CVD, do inglês Chemical Vapor Deposition, permite produzir e crescer uma pedra única, homogênea e de espessura e granulação pré-determinadas, diretamente na parte ativa da ponta. Em outras palavras, a integridade do diamante e sua alta aderência à haste metálica são garantidas neste método, e com isso agregam à peça todas as vantagens do diamante, aqui já citadas. Essa tecnologia, patenteada internacionalmente, é hoje bastante conhecida por aumentar significativamente a vida útil das pontas, quando comparada às tradicionais.
Os diferenciais, no entanto, não se restringem aos aspectos físicos e químicos. Além da comprovada durabilidade, a tecnologia do diamante CVD empregada para fins odontológicos, uma exclusividade CVDentus, favorece também a prática e rotina clínica dos profissionais dentistas.
Conheça os diferenciais do diamante CVD e agregue aos seus procedimentos
- Não corta tecido mole
Diferente das brocas convencionais, que possui arestas pontiagudas capazes de lesionar gengivas, nervos, vasos e periósteo, o diamante CVD apresenta uma superfície lisa e homogênea que, associada ao movimento de vibração do ultrassom, preservam tecidos moles.

Foto: Dr. Leandro Martins
- Corta esmalte, dentina, amálgama, resina e osso
Apesar de não machucar os tecidos moles, o diamante CVD possui a dureza de 95GPa, ou seja, 30x superior ao esmalte do dente e por isso consegue cortar estruturas extremamente rígidas.
- Precisão
A superfície lisa do diamante CVD, em conjunto com o efeito ultrassônico, permitem tratamentos minimamente invasivos, cirurgias limpas e com maior previsibilidade, dando ao paciente mais conforto e uma recuperação mais rápida.
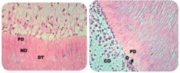
- Sem dor em até 70% dos tratamentos
Um estudo comparou 34 preparos cavitários classe 5, executados 50% com o sistema CVDentus, e 50% com brocas de alta rotação. Os resultados demonstraram que, naqueles em que utilizou-se o sistema CVDentus, não houve danos à membrana pulpo-dentinária e as camadas dos odontoblatos, dentina, pré-dentina e zona celular foram preservadas; já nos casos realizados com brocas diamantadas e alta rotação, todos apresentaram falta da membrana pulpo-dentinária, desarranjo do fluido intratubular e estimulação das terminações nervosas.
- Eficiência: resultados melhores e riscos minimizados
Algumas razões justificam a eficiência do diamante CVD. Entre eles destaque para o poder de corte das pontas que se mantem igual até o final do seu ciclo de vida, ao contrário das brocas que perdem o corte conforme os grãos se soltam, e também o tempo de procedimentos que são significativamente reduzidos, tanto pelo não uso da anestesia em até 70% dos casos, como também por conferir previsibilidade e agilidade à tratamentos que necessitariam de um maior tempo para execução, em Flapless, por exemplo, um procedimento que levaria 3 meses, agora pode ser realizado no mesmo dia.

Foto: Dr. Florin Cofar
- Melhor acabamento
Outra exclusividade do diamante CVD é a possibilidade controlar a sua rugosidade. Atualmente existem 3 tipos: finos, ultra finos e convencional.
O ultra fino, por sua vez, exerce refinamentos de preparos com excelente qualidade, tornando-o ideal para CAD/CAM e preparos conservadores para próteses, principalmente para lentes. A gengiva do paciente fica intacta e com isso é possível moldar e scannear na mesma sessão.

Foto: Renato Voss Rosa
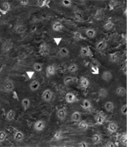
- Gera menos smear layer
Estudos indicam que a utilização das pontas CVDentus gera uma camada de smear layer menos aderida, ou seja, com um padrão de condicionamento superior da dentina em relação aos preparos convencionas.
E você, já conhecia essa inovação? O que você achou dessa tecnologia? Compartilhe conosco sua opinião nos comentários!
“A CVDVale foi a pioneira na América Latina no desenvolvimento de diamantes-CVD e é a única empresa no mundo que domina a tecnologia de produção de pontas odontológicas com esse material. As matérias-primas empregadas são hidrogênio e gás metano, portanto além de biocompatíveis para o paciente, não agride também o meio ambiente.”











Uma resposta